Connect With Us

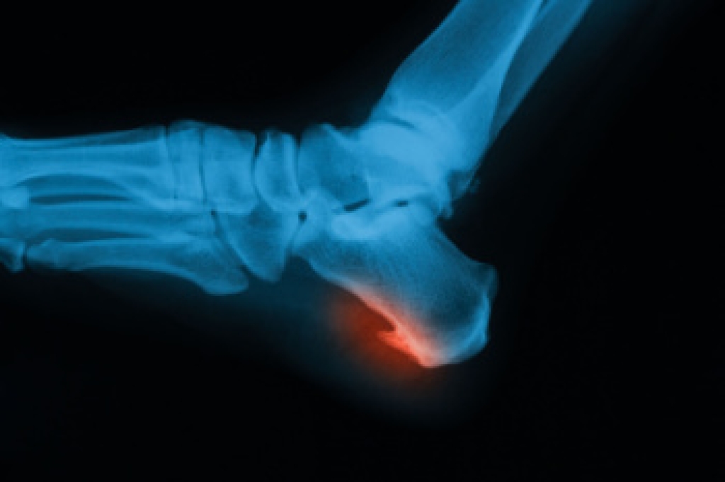
Heel spurs are bony growths that can form on the underside of the heel bone, often associated with plantar fasciitis. These spurs develop over time as a result of repetitive stress or tension on the foot. The primary cause is the strain placed on the plantar fascia, a thick band of tissue that connects the heel to the toes. As this tissue is repeatedly stretched or stressed, calcium deposits may accumulate, leading to the formation of a heel spur. Common symptoms include sharp pain in the heel, particularly when walking or standing after rest. Swelling and tenderness surrounding the heel area may also occur. Although heel spurs are often painless, they can cause significant discomfort and restrict normal movement if left untreated. If you have heel pain, it is suggested that you contact a podiatrist who can accurately diagnose a heel spur, and offer appropriate relief and treatment solutions.
Heel spurs can be incredibly painful and sometimes may make you unable to participate in physical activities. To get medical care for your heel spurs, contact our podiatrists from Superior Foot & Ankle Center. Our doctors will do everything possible to treat your condition.
Heels Spurs
Heel spurs are formed by calcium deposits on the back of the foot where the heel is. This can also be caused by small fragments of bone breaking off one section of the foot, attaching onto the back of the foot. Heel spurs can also be bone growth on the back of the foot and may grow in the direction of the arch of the foot.
Older individuals usually suffer from heel spurs and pain sometimes intensifies with age. One of the main condition's spurs are related to is plantar fasciitis.
Pain
The pain associated with spurs is often because of weight placed on the feet. When someone is walking, their entire weight is concentrated on the feet. Bone spurs then have the tendency to affect other bones and tissues around the foot. As the pain continues, the feet will become tender and sensitive over time.
Treatments
There are many ways to treat heel spurs. If one is suffering from heel spurs in conjunction with pain, there are several methods for healing. Medication, surgery, and herbal care are some options.
If you have any questions, please feel free to contact our office located in Long Beach, CA . We offer the newest diagnostic and treatment technologies for all your foot care needs.

Ankle pain can arise from various conditions like sprains, arthritis, or tendonitis. A sprained ankle occurs when the ligaments are stretched or torn, causing swelling, bruising, and sharp pain, particularly when walking or standing. Arthritis can cause joint pain, stiffness, and swelling, often worse in the morning or after prolonged activity. Tendonitis happens when the tendons surrounding the ankle become inflamed, leading to pain, especially during movement or exercise. Depending on the cause, ankle pain can feel sharp, dull, or achy, and may limit your ability to walk or be active. Treatment options include rest, targeted exercises, anti-inflammatory medications, or custom orthotics. In more severe cases, a podiatrist may suggest injections or surgery to repair damaged tissues. This type of doctor can provide a precise diagnosis and create a treatment plan tailored to your needs, helping you regain mobility and reduce pain. If you are struggling with ankle pain, it is suggested that you schedule an appointment with a podiatrst for appropriate treatment solutios.
Ankle pain can be caused by a number of problems and may be potentially serious. If you have ankle pain, consult with our podiatrists from Superior Foot & Ankle Center. Our doctors will assess your condition and provide you with quality foot and ankle treatment.
Ankle pain is any condition that causes pain in the ankle. Due to the fact that the ankle consists of tendons, muscles, bones, and ligaments, ankle pain can come from a number of different conditions.
Causes
The most common causes of ankle pain include:
Symptoms
Symptoms of ankle injury vary based upon the condition. Pain may include general pain and discomfort, swelling, aching, redness, bruising, burning or stabbing sensations, and/or loss of sensation.
Diagnosis
Due to the wide variety of potential causes of ankle pain, podiatrists will utilize a number of different methods to properly diagnose ankle pain. This can include asking for personal and family medical histories and of any recent injuries. Further diagnosis may include sensation tests, a physical examination, and potentially x-rays or other imaging tests.
Treatment
Just as the range of causes varies widely, so do treatments. Some more common treatments are rest, ice packs, keeping pressure off the foot, orthotics and braces, medication for inflammation and pain, and surgery.
If you have any questions please feel free to contact our office located in Long Beach, CA . We offer the newest diagnostic tools and technology to treat your foot and ankle needs.

Podiatry is the branch of medicine focused on diagnosing, treating, and preventing conditions affecting the feet, ankles, and lower extremities. Podiatrists, or Doctors of Podiatric Medicine, DPMs, are medical professionals trained to address everything from common foot pain and injuries to diabetic foot complications and surgical interventions. Podiatric care is provided in private practices, hospitals, sports medicine clinics, and specialized wound care centers. To become a podiatrist, individuals must complete a Doctor of Podiatric Medicine, or DPM degree, followed by a three-year surgical residency. Podiatry benefits people of all ages, especially athletes, diabetic patients, seniors, and individuals with mobility issues. Proper foot care enhances overall well-being, preventing complications that could lead to pain, infection, or even limb loss. If you have foot or ankle pain or any concerns about your lower extremities, it is suggested that you schedule an appointment with a podiatrist.
If you are experiencing pain in the feet or ankles, don’t join the stubborn majority refusing treatment. Feel free to contact our podiatrists from Superior Foot & Ankle Center. Our doctors can provide the care you need to keep you pain-free and on your feet.
What Is a Podiatrist?
Someone would seek the care of a podiatrist if they have suffered a foot injury or have common foot ailments such as heal spurs, bunions, arch problems, deformities, ingrown toenails, corns, foot and ankle problems, etc.
Podiatric Treatment
A podiatrist will treat the problematic areas of the feet, ankle or lower leg by prescribing the following:
A common podiatric procedure a podiatrist will use is a scanner or force plate which will allow the podiatrist to know the designs of orthotics. Patients are then told to follow a series of tasks to complete the treatment. The computer will scan the foot a see which areas show weight distribution and pressure points. The podiatrist will read the analysis and then determine which treatment plans are available.
If you have any questions, please feel free to contact our office located in Long Beach, CA . We offer the newest diagnostic and treatment technologies for all your foot care needs.

Athlete's foot is a fungal infection that affects the skin on your feet, often between the toes, however, there is also a moccasin variety that affects the bottom of the feet. It is caused by dermatophytes, fungi that thrive in warm, moist environments, such as sweaty shoes or locker rooms. The condition is highly contagious and can spread through direct contact with infected surfaces or people. Common symptoms of athlete's foot include itching, burning, peeling, and redness. In more severe cases, the skin may crack, blister, or become painful. It can also spread to the toenails or other areas of the body if left untreated. Treatment typically involves antifungal creams or powders, which help eliminate the infection. Keeping your feet dry and wearing breathable shoes are also key to preventing reinfection. In stubborn cases, a podiatrist may prescribe stronger antifungal medications or recommend a more tailored treatment plan. If you are experiencing symptoms of athlete's foot, it is suggested that you schedule an appointment with a podiatrist for proper diagnosis and treatment.
Athlete’s Foot
Athlete’s foot is often an uncomfortable condition to experience. Thankfully, podiatrists specialize in treating athlete’s foot and offer the best treatment options. If you have any questions about athlete’s foot, consult with our podiatrists from Superior Foot & Ankle Center. Our doctors will assess your condition and provide you with quality treatment.
What Is Athlete’s Foot?
Tinea pedis, more commonly known as athlete’s foot, is a non-serious and common fungal infection of the foot. Athlete’s foot is contagious and can be contracted by touching someone who has it or infected surfaces. The most common places contaminated by it are public showers, locker rooms, and swimming pools. Once contracted, it grows on feet that are left inside moist, dark, and warm shoes and socks.
Prevention
The most effective ways to prevent athlete’s foot include:
Symptoms
Athlete’s foot initially occurs as a rash between the toes. However, if left undiagnosed, it can spread to the sides and bottom of the feet, toenails, and if touched by hand, the hands themselves. Symptoms include:
Diagnosis and Treatment
Diagnosis is quick and easy. Skin samples will be taken and either viewed under a microscope or sent to a lab for testing. Sometimes, a podiatrist can diagnose it based on simply looking at it. Once confirmed, treatment options include oral and topical antifungal medications.
If you have any questions, please feel free to contact our office located in Long Beach, CA . We offer the newest diagnostic and treatment technologies for all your foot care needs.
Connect With Us